
ドック(検診)のご案内
心臓ドック
■ 心臓ドックとは
心臓病は症状がなくても進行することがあり、心臓ドックでは心臓の動きや血管の状態、心臓年齢を総合的に評価することで早期発見を目指しており「最近疲れやすい」「動悸が気になる」といった軽い症状がある場合も受診のきっかけとしてご検討ください。
■ こんな方におすすめ
- 40歳以上の方
- 高血圧・糖尿病・脂質異常症がある
- 喫煙歴がある
- 家族に心臓病の方がいる
- 動悸・息切れ・胸痛が気になる
- 健康診断で異常を指摘されたことがある
■ 主な検査内容
・心エコー
心臓の動き、弁膜症、心不全の兆候を評価します。
・心電図
不整脈や虚血の有無を確認します。
・血液検査
BNP、脂質、血糖、HbA1cなど、心臓や血管の状態を把握します。
・胸部X線
心拡大の有無などを確認します。
・心臓造影CT
冠動脈の狭窄や心機能などを評価します。
■ 所要時間
90~120分
■ 料金
100,000円
メタボ・動脈硬化ドック
■ メタボ・動脈硬化ドックとは
自覚症状がほとんどないまま進行する“沈黙の病気”であるメタボリックシンドロームや動脈硬化の早期発見のために血管と代謝の状態を総合的に評価し、心筋梗塞・や脳梗塞などの命に関わる病気の予防につなげる健康診断です。内臓脂肪の蓄積度、血管の硬さ・つまり具合、血糖・脂質・血圧のリスク、将来の心筋梗塞・脳梗塞の発症リスク、生活習慣改善のポイントなどを知ることができます。
■ こんな方におすすめ
- 健康診断で「メタボ予備軍」と言われた
- 血圧・血糖・脂質が少し高め
- 家族に心筋梗塞・脳梗塞の方がいる
- 40歳以上で生活習慣が気になる
- 最近体重が増えた、運動不足が続いている
■ 主な検査内容
・血液検査(生化学)
肝機能・腎機能・脂質・血糖などを測定し、代謝異常や動脈硬化のリスクを評価します。
・血液検査(血糖、HbA1c)
過去1~2か月の平均血糖値を確認し、糖尿病や血糖コントロールの状態を把握します。
・血液検査(末梢血)
貧血や炎症の有無など、全身状態の基本的な指標を確認します。
・腹部エコー
内臓脂肪の蓄積や脂肪肝の有無、腹部臓器の状態を評価します。
・心電図
不整脈や心筋虚血など、心臓への負担の有無を確認します。
・胸部X線
心拡大や肺の異常の有無を確認します。
・尿検査
糖・蛋白・潜血などを調べ、腎機能や代謝異常の兆候を評価します。
■ 所要時間
約90分
■ 料金
50,000円
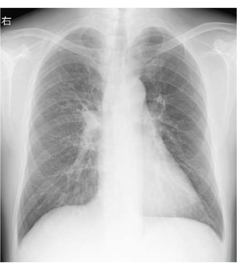
肺がんドック
■ 肺がんドックとは
肺がんは自覚症状が出にくく、気づいた時には進行していることも少なくありません。当院では胸部画像検査+呼吸機能+腫瘍マーカーを組み合わせた、より精密な肺がん検診を実施しています。喫煙歴のある方やご家族に肺がんの既往がある方はもちろん、症状がない方でも定期的なチェックが早期発見につながります。
■ こんな方におすすめ
- 喫煙歴のある方
- 咳・痰が続く方
- 家族に肺がんの方がいる
- 健康管理として定期的にチェックしたい方
■ 主な検査内容
・胸部X線検査
肺の形・影の有無を確認する基本的な検査です。
・胸部単純CT
X線よりも詳細に肺の状態を確認できます。小さな結節や早期の異常を発見しやすい検査です。
・呼吸機能検査
肺の働きを数値化し、慢性閉塞性肺疾患(COPD)などの早期発見にも役立ちます。
■ 主な腫瘍マーカー
| 腫瘍マーカー | 主に関連するがん種 |
|---|---|
| CEA | 腺癌 |
| SCC | 扁平上皮癌 |
| シフラ(CYFRA21-1) | 扁平上皮癌 |
| NSE | 小細胞癌 |
| ProGRP | 小細胞癌 |
| SLX | 腺癌 |
| CA19-9 | 進行性癌 |
■ 所要時間
約90分
■ 料金
50,000円
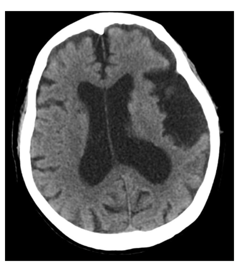
脳ドック
■ 脳ドックとは
脳ドックは、通常の人間ドックでは発見されにくい脳疾患の早期発見と予防を目的とした健康診断です。脳梗塞や脳出血、脳動脈瘤などの重大な疾患は自覚症状がないまま進行することもあるため、定期的な検査が将来のリスク低減につながります。気になる症状がある方はもちろん、40歳を過ぎた方にもおすすめしています。
■ こんな方におすすめ
- 40歳以上の方
- 高血圧・糖尿病・脂質異常症・肥満傾向など生活習慣病がある方
- 喫煙・飲酒習慣がある方
- めまい・頭痛・物忘れが気になる方
■ 主な検査内容
・頭部造影CT
脳梗塞・脳出血・脳腫瘍・脳動脈瘤・血管の狭窄・脳の萎縮などを調べます。
・頸動脈エコー
動脈硬化の程度やプラークの有無、血管の狭窄などを調べます。
・尿・血液検査
肝機能・腎機能・脂質・血糖・貧血などを評価します。
■ 所要時間
約90分
■ 料金
80,000円

| 月~金 | 9:00~12:00 15:30~17:30 |
| 土 | 9:00~12:00 |
| 日 | 9:30~12:30 14:30~16:30 |
| 祝 | 9:30~12:30 |
| ※受付終了時間は診療終了時間の10分前です | |
| 火・土 | 14:00~15:20 |
| 月・水・木・金 | 14:00~15:20 |
| 日 | 14:30~16:30 |
| ※第2,第4週のみ |
祝日午後

| ●小児科 | ●循環器内科 |
| ●アレルギー科 |
| ●乳児健診 | ●予防接種 |


清瀬市元町1-1-14
プランドールJ 2階
- ●西武池袋線「清瀬駅」
北口より徒歩2分 - ●駐車場有













